別府市にある女性限定のセルフホワイトニング専門店『ホワイトビューティーサロン 時間旅行』

Language
ホワイトビューティーサロン 時間旅行

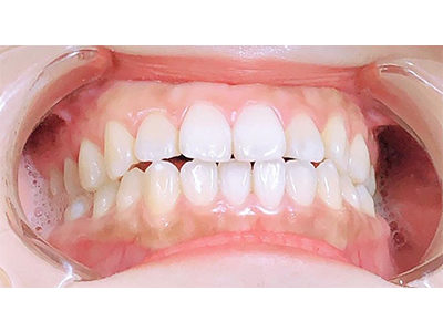
Before / After

セルフホワイトニングの結果をご紹介!

「前はホームホワイトニングをしていたけど、続かなくて辞めていた」
「お金がもっとかかるものだと思ってた」「1日で綺麗になれて嬉しい!」
お客様それぞれの「歯を綺麗にしたい」思いが結果となったBefore Afterをご覧ください。

Mさま 20代

  • ご来店時 トーンNo.S18
  • 6回照射後 トーンNo.S8
  • 吸わない
  • 1日1杯程度
  • 飲まない

Hさま 20代

  • ご来店時 トーンNo.S36
  • 5回照射後 トーンNo.S28
  • 吸わない
  • 1日1杯程度
  • 飲まない

Nさま 20代

  • ご来店時 トーンNo.S20
  • 4回照射後 トーンNo.S10
  • 吸わない
  • 飲まない
  • 飲まない

Sさま 50代

  • ご来店時 トーンNo.S18
  • 4回照射後 トーンNo.S12
  • 吸わない
  • 1日1杯程度
  • 飲まない
月に2回ペースでホワイトニングされてるお客様です。 5分間照射を4回繰り返して頂いた結果!

Yさま 20代

  • ご来店時 トーンNo.S24
  • 4回照射後 トーンNo.S14
  • 吸わない
  • 飲まない
  • 飲まない
20代女性です。 5分照射を4回繰り返して4トーンから5トーン白くなりましたね♪

Hさま 20代

  • ご来店時 トーンNo.S20
  • 6回照射後 トーンNo.S10
  • 吸わない
  • 1日1杯程度
  • 飲まない

Nさま 30代

  • ご来店時 トーンNo.S28
  • 4回照射後 トーンNo.16
  • 吸わない
  • 1日1杯程度
  • 飲まない
2度目のホワイトニングの施術を受けられたお客様です。 5分照射×4回コースで凄く白くなりました!

Yさま 20代

  • ご来店時 トーンNo.S32
  • 4回照射後 トーンNo.S24
  • 吸わない
  • 飲まない
  • 飲まない
定期的にホワイトニングにご来店されて凄く白くなりました。 今回の施術も5分間照射×4回した結果、こんなに白く輝く歯に! 回数をすればするほど白くツルツルの歯になります。